儿子都30岁了,美容院还推荐她做“产后修复”,结果……

陈女士由女儿扶着进美容院与之交涉
“我儿子都30岁了,他们还要给我做‘产后修复’,我实在是太相信‘张氏美容’才会受害。”8月22日,50岁的市民陈女士投诉,称她花了两万多元做“盆腔闭合”,不料腰椎和尾骨受伤,连走路都要女儿扶着。
消费投诉
做完“盆腔闭合”
腰椎和尾骨出“问题”

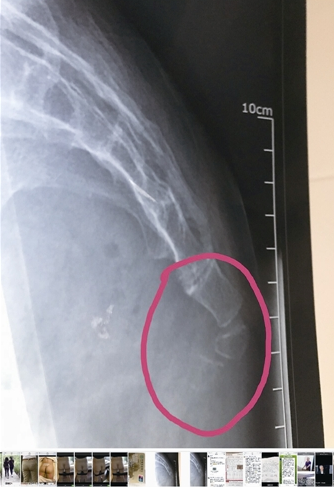
CT检查显示陈女士尾骨受伤
陈女士说,她是“张氏美容”20多年的老客户,这家美容公司在温州有很多门店,她所投诉的门店位于鹿城区南浦路。
“几个月前,她们(张氏美容)打电话给我,说有个价值19800元的项目,可以以1980元的体验价给我用。”陈女士回忆道,当她问清这是个“产后修复”的盆腔闭合项目后,“我感到很奇怪,我儿子都30岁了,还修复什么?可她们说,生过孩子的女人都有必要做这个,我很相信她们,就答应了”。
6月19日,陈女士前往张氏美容南浦门店,一名“医生”带着几个助手给她做了“盆腔闭合”。
“他们主要是用手推我的臀部和腰部,当时非常痛,可‘医生’说,越痛越有效果,让我忍住。”陈女士回忆,30多分钟后,这个项目终于做完,可门店的工作人员又向她推销起其他产品,“她们说,做完后还要用这些产品‘固定住’,否则就没效果”。就这样,陈女士又花了19800元购买产品。
陈女士说,做完“盆腔闭合”后,自己的背部、腰部都隐隐作痛,臀部的形态也变化了不少,“我找过美容店几次,她们还让我做几个恢复性的动作,可我越做越严重”。
8月初,陈女士在温州医科大学附属第二医院做腰背部X射线、CT等检查,检查报告显示,陈女士腰椎多处膨出、突出,骶尾椎的“尾3”部位滑移。
商家回应
只是普通按摩
没有超范围经营
“医生说,我这种情况需要在床上静躺3个月,由于尾骨和腰椎有很多神经,连手术都不好做。”陈女士说,她现在出门都要女儿扶着,腰背时不时阵阵剧痛,当她找美容院要说法时,对方却推卸起责任。
8月22日,记者陪同陈女士来到张氏美容南浦门店。记者在该店营业执照上看到,这家门店的正式名称为“温州张氏美容有限公司南浦分公司”,其经营范围是美容服务。张店长表示,陈女士做的只是普通按摩,她们没有超范围经营。
陈女士当初付费后,签过一份《臻美国际盆腔康复工程—康复记录表》,上面记录了盆腔闭合前后的尺寸,还有一系列“疗效”。在记录表备注一栏写道:“做过盆腔闭合后,由于神经肌肉得以释放,可能会引起腰骶肌、盆骶肌和韧带酸痛现象。只要按康复规定按时到会所做修复护理即可消除上述现象。”
店长张女士承认这份记录表与2万多元的收费属实,但坚称陈女士的伤不是她们的按摩项目造成的。她还表示,希望陈女士去找第三方机构做鉴定,双方根据鉴定结果处理此事。
部门说法
如存在违法违规行为
将依法进行查处
当天,陈女士向鹿城区卫生监督所反映情况。
当天下午2时许,鹿城区卫生监督所执法人员来到涉事美容院,他们查看了大量底单与客户资料,发现有一些疑似医疗美容的项目。
据介绍,开展医疗美容的机构,必须取得卫生计生行政部门颁发的《医疗机构执业许可证》,医师必须持有《医师资格证书》并经注册取得《医师执业证书》。
张店长说,她们分公司没有这些资质,但她们公司旗下的“欧歌医疗美容门诊部”有。
当天下午4时多,执法人员立即带着张店长,前往位于鹿城华峰大厦的“欧歌医疗美容门诊部”,可门诊部大门紧闭。
张店长说,门诊部的人正好全部外出培训。
执法人员让张店长联系门诊部工作人员,让他们尽快回来开门接受检查,可过了快1个小时,没有任何工作人员出现。执法人员又让张店长联系给陈女士做“盆腔闭合”的“医生”,对方表示,她们已联系不上那名“医生”。
执法人员介绍,下一步,他们会调查陈女士接受的“盆腔闭合”是否属于医疗美容项目,并给张店长等人作详细笔录,认真核对底单与客户资料,查明涉事美容机构的医疗资质等问题,“如果存在违法违规的行为,我们将依法进行查处”。
(原标题《50岁的她在美容院做“产后修复”称花了两万多元腰椎尾骨出“问题”》,编辑张银燕)







